

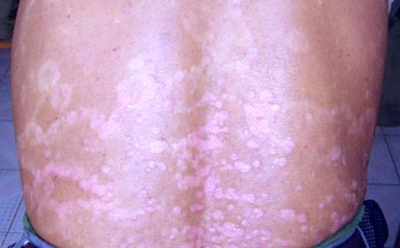
山东潍坊专业治疗癣的医院是哪家?现在的皮肤疾病的类型很多,癣就是很常见的一种皮肤疾病,癣的发病部位不同,叫法也有所区别,但是不管是什么部位得了癣,都要及早接受治疗,那么,潍坊地区治疗癣的医院是哪家呢?我们来看看下面的解答。

癣多半都是由于各种的真菌导致生病,治疗起来不是很简单,就算有的患者治好了疾病,再次接触真菌的时候,还是很容易出现感染,再次犯病的,所以患者要想治好癣,要及时的到正规专业的医院接受治疗才可以。
癣的传染性很强,不少患者身上各个部位都患病,就是因为自身传染导致的,而且癣不仅仅可以自身传染,还会传染给别人,所以患者要及时的接受治疗,千万不要觉得癣的危害性不大,就耽误治疗。
以上就是我们的相关解答,如您还有疑问,欢迎在线咨询,或者拨打潍坊银康医院热线电话0536-3087125。
【具体治疗方案可咨询治疗皮肤病医院——潍坊银康医院,希望大家谨遵医嘱,切勿自行用药。如果您无法确定自身病情,可点击右侧咨询窗口,或拨打我院电话0536-3087125,提供自己的皮肤病照片,我们会为您识别病情,提供皮肤病治疗建议。】